3 فبراير 2024
خاص – نص خبر
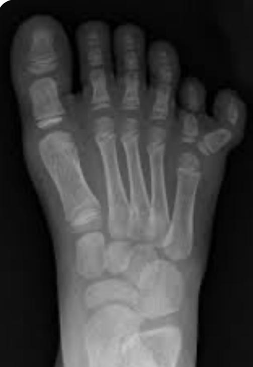
أوضح الدكتور صبري زيادة استشاري جراحة العظام بمستشفيات الحمادي بالرياض زميل الأكاديمية الأميركية لجراحة العظام أن تعدد الأصابع في القدم عند الأطفال تعد حالة وراثية جسمية خلقية شائعة ناتجة عن فشل التمايز في سلسلة الأديم الظاهر القمي خلال الأشهر الثلاثة الأولى من الحمل، والتي تظهر بأصابع إضافية في القدم عند المولود ليكون عدد الأصابع ستة بدلاً من خمسة أصابع.

وأشار الدكتور صبري زيادة أنه يتم التشخيص سريراً، بوجود أصابع إضافية في القدم شعاعياً إذ يتوضح وجود عدد إضافي في عظام القدم،إما مشط إضافي للقدم أو عظم سلاميات إضافي في الأصبع(السادس الإضافي) في قدم الطفل.
وأبان استشاري جراحة العظام بالحمادي إلى أن نسبة حدوث الأصابع الزائدة من 1إلى 500 ولادة،ويكون العلاج باستئصال الإصبع الزائد في عمر 9إلى 12 شهراً إن أمكن،ويمكن إزالة الزوائد الجلدية الصغيرة بعد الولادة في أي وقت.

